Un 'gadget' implantado en el cerebro ayuda a reducir la depresión profunda

Un nuevo estudio está impulsando la posibilidad de que los pacientes con enfermedades mentales que no responden a las terapias convencionales puedan beneficiarse del uso de electrodos impulsados con baterías implantados quirúrgicamente en el cerebro.
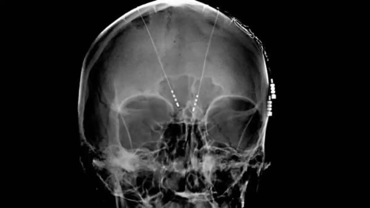
El procedimiento, llamado estimulación cerebral profunda (DBS, por sus siglas en inglés), utiliza un dispositivo similar a un marcapasos para producir una pequeña y constante descarga eléctrica en circuitos específicos del cerebro que controlan nuestro estado de ánimo.
Aunque la DBS ha sido aprobada por la Dirección de Medicamentos y Alimentos de Estados Unidos (FDA, por sus siglas en inglés) desde 1997 para tratar los síntomas de los trastornos del movimiento —temblor esencial, enfermedad de Parkinson y distonía espasmódica— su uso en la enfermedad mental es experimental. Sólo unos pocos científicos han probado la DBS en sólo algunas decenas de pacientes psiquiátricos que padecen depresión resistente al tratamiento y trastorno obsesivo-compulsivo .
El estudio más reciente, publicado este lunes en la edición digital de la revista Archives of General Psychiatry , incluye a 10 pacientes con trastorno depresivo mayor y a 7 pacientes con trastorno bipolar II, que suelen tener episodios frecuentes de depresión severa y alto riesgo de suicidio .
Todos los pacientes habían probado los tratamientos convencionales, incluyendo la psicoterapia, los medicamentos psiquiátricos, y la terapia electroconvulsiva. Pero nada de lo que intentaron aportó ningún alivio significativo.
Sus vidas se han visto afectadas generalmente por un profundo sentimiento de desprendimiento , “como estar en el lodo”, dice la médico Helen Mayberg, neuróloga de la Universidad Emory, quien dirigió el estudio. “No puedes moverte, no puedes conectarte. Sientes como si hubieras hecho algo malo y deseas estar muerto ”.
La principal medida para el nivel de la enfermedad en los sujetos del experimento fue la Escala de Evaluación de Depresión Hamilton, un cuestionario ampliamente utilizado que indaga en los pacientes 17 síntomas diferentes. Sólo los pacientes cuyos resultados de Hamilton fueron 20 o superior, lo que indica una depresión grave, fueron elegibles para el estudio.
Una caída del 50% en la puntuación de Hamilton después de la cirugía de DBS fue considerada como una “respuesta”. Los pacientes cuyos resultados de Hamilton descendieron por debajo de 8 eran considerados en “remisión”, experimentando los altibajos normales de las personas sanas.
Después de 24 semanas, el 41% de los pacientes tuvo una respuesta positiva a la estimulación y el 18% estaba en remisión. Después de dos años de estimulación, la tasa de respuesta fue de hasta el 92% y el 58% de los pacientes estaba en remisión. La creciente tasa de mejoría es consistente con los datos de experimentos anteriores que muestran que el impacto de la estimulación eléctrica parece acumularse con el tiempo.
El blanco de la cirugía de DBS es la materia blanca que se encuentra justo debajo de una estructura cerebral del tamaño de un chícharo conocida como Área 25. Experimentos previos de Mayberg habían identificado al Área 25 como una caja de conexiones de los circuitos cerebrales vinculados a nuestro estado de ánimo. Ella lo llama “un cabecilla”. Utilizando poderosa tecnología de imagenología, Mayberg encontró que el Área 25 parece ser hiperactiva en los pacientes deprimidos.
Mayberg y un neurocirujano del Toronto Western Hospital realizaron un innovador experimento utilizando la estimulación cerebral profunda en seis pacientes con depresión severa, el cual fue publicado en 2005.
Mayberg tiene una patente junto con otro científico por el procedimiento de estimulación cerebral profunda para la depresión. El nuevo estudio añade apoyo adicional a los resultados originales de Mayberg de que la DBS parece ser segura y eficaz.