Publicidad
Revista Digital
Publicidad

Un tratamiento con células madre para tratar la hidrocefalia en fetos

Un grupo de científicos trabaja en reemplazar las células afectadas por otras funcionales para evitar el daño neurológico
vie 06 septiembre 2013 05:29 PM
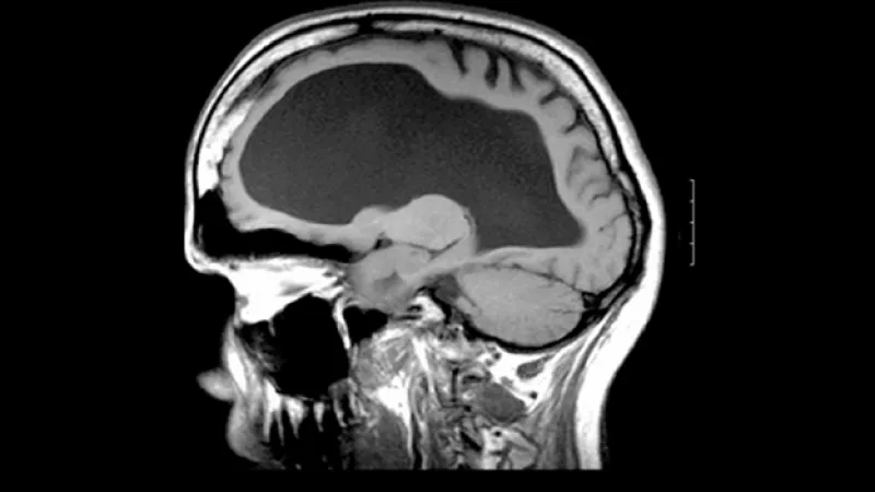
hidrocefalia tomografia
hidrocefalia tomografia hidrocefalia tomografia

Un grupo de científicos europeos y americanos están más cerca de encontrar una cura para la hidrocefalia, un trastorno con el que nacen casi tres millones de niños al año, sustituyendo las células dañadas de la corteza cerebral por células madre mediante cirugía en el periodo fetal.

Así lo aseguró el investigador argentino Esteban Rodríguez, del Instituto de Anatomía, Histología y Patología de la Universidad Austral de Chile, que participa en la isla española de Fuerteventura (Canarias, Atlántico) en el XXVI Congreso de la Sociedad Anatómica Española.

El experto explicó que  la hidrocefalia se produce por la acumulación del líquido cefalorraquídeo dentro del cerebro , aunque matiza que "no es solo un trastorno líquido, sino de todo el cerebro, ya que se ha producido un daño cerebral que, incluso, es previo a la hidrocefalia".

El especialista aclaró que "en condiciones normales el líquido cefalorraquídeo está en permanente circulación desde el sitio donde se produce, los ventrílocuos laterales, hasta el lugar donde se absorbe".

"Sin embargo si hay dificultad en la circulación o producción del líquido, este se acumula en las cavidades ventriculares y se produce el agrandamiento de la cabeza y, entonces, estamos ante un caso de hidrocefalia congénita fetal", añadió.

Esta patología, que afecta a casi dos de cada 1,000 recién nacidos, es de tipo neurológica y hasta el momento no tiene cura, y quienes la padecen nacen con el daño cerebral y el 50 % muere alrededor de los 15 años.

Publicidad

La medicina lleva décadas aplicando terapias encaminadas a evitar un mayor daño cerebral, a través de la cirugía.

Sin embargo, el doctor Rodríguez, que lleva quince años estudiando la enfermedad, cree haber encontrado respuesta a la patología y mira a las células madres como posible vía para la curación.

Este especialista explica que las aportaciones de su equipo se centran, por un lado, en demostrar que los fetos hidrocefálicos, tanto humanos como animales, padecen una enfermedad de las células madre que desencadena dos patologías: la hidrocefalia y el trastorno neuronal.

Y por otro, en plantear una alternativa que consistiría en " reemplazar esas células madre , que están patológicas, por células madre normales para que sigan creando neuronas que formen la corteza cerebral y así no habría daño neurológico".

Las células madre, comprometidas para hacer neuronas, se podrían extraer de tejidos tanto del feto como de la propia madre y se trasplantarían en el feto mediante cirugía.

Este equipo, en el que hay implicados siete centros de investigación de varios países, lleva dos años trabajando en la posibilidad de los trasplantes y aunque aún se encuentra a nivel experimental, el científico argentino cree que, si continúan en la misma línea, los primeros resultados podrían darse en un año y medio.

Rodríguez confía en que "si las células trasplantadas van al lugar dañado y se diferencian en neuronas se podrían llevar a cabo los primeros intentos en humanos".

El investigador explica que además de la hidrocefalia congénita existe la adquirida, que se puede padecer en cualquier etapa de la vida debido, por ejemplo, a la aparición de un tumor, y la normotensiva, que se registra en personas de la tercera edad sin que estos hayan tenido tumores previos

 

No te pierdas de nada
Te enviamos un correo a la semana con el resumen de lo más importante.

¡Falta un paso! Ve a tu email y confirma tu suscripción (recuerda revisar también en spam)

Ha ocurrido un error, por favor inténtalo más tarde

Publicidad
Publicidad