Asbesto, la 'fibra milagrosa' que se volvió un peligro subterráneo para la CDMX

Su resistencia al calor y la fricción, así como su bajo costo, convirtieron al asbesto en la ‘fibra milagrosa’ a mediados del siglo XX. Muchas industrias echaron mano de este material; en la construcción se empleó para techos de lámina o teja, fachadas, chimeneas y tubería. Pese a que en 1977, la Agencia Internacional para la Investigación del Cáncer (IARC) alertó sobre la relación entre la exposición al asbesto y el cáncer, en la Ciudad de México la mayor parte de la tubería de agua potable todavía es de este mineral.
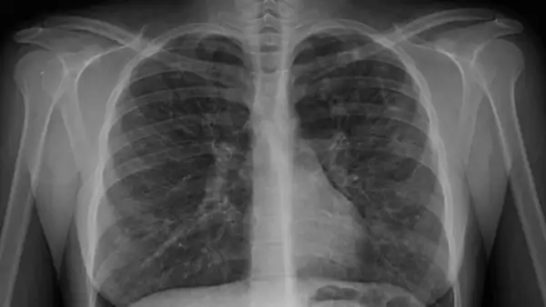
Lee: Las enfermedades causadas por la exposición al asbesto
Además de las tuberías de agua, en el ámbito doméstico aún existen tinacos y piletas de este material, pero no hay censo alguno. Otro uso frecuente es en lámina de asbesto, y aunque tampoco se cuenta con datos específicos, el INEGI calcula que en el país 21 viviendas de cada 100 tienen techo de lámina metálica, cartón o asbesto, y 1 de cada 100 tiene paredes de lámina de cartón, asbesto, carrizo, bambú o palma.

Actualmente, se encuentra en proceso de consulta un proyecto de norma oficial que actualice los requisitos sanitarios para la utilización del asbesto. De aprobarse este proyecto, desarrollado por la Comisión Federal para la Protección contra Riesgos Sanitarios (Cofepris), sustituiría a la normatividad de 1994.