Aguantar un estornudo puede causar lesiones, y así le ocurrió a este hombre

Si estás a punto de estornudar, incluso si estás en un lugar en silencio, los médicos te aconsejarán que lo dejes salir. Un hombre de 34 años sin nombre en Gran Bretaña aprendió la lección de la peor manera y tuvo que pasar dos semanas en el hospital debido a una lesión.
Eso es según un informe de un caso con un curioso título: Snap, crackle and pop: cuando los estornudos provocan lesiones en el cuello. El informe fue publicado el lunes en la revista médica BMJ Case Reports.
Según el informe, este hombre "previamente en forma" sostuvo su nariz y mantuvo la boca cerrada durante un "fuerte" estornudo. Más tarde les dijo a los médicos que inmediatamente sintió una sensación de que algo sonó en su cuello. No notó ningún problema de inmediato, pero un par de horas más tarde sintió dolor en la garganta y el cuello. Cuando se hinchó y su voz cambió, se dirigió al hospital.
Lee: La ciencia dice que viajar es bueno para tu salud
"Este hombre de 34 años de edad dijo que siempre intentaba contener sus estornudos porque cree que es muy poco higiénico estornudar en la atmósfera o en la cara de alguien. Eso significa que ha estado aguantando los estornudos durante los últimos 30 años más o menos, pero esta vez fue diferente", dijo la autora del informe de caso, la Dr. Wanding Yang, quien trabaja en el departamento de oído, nariz y garganta en University Hospitals of Leicester NHS Trust.
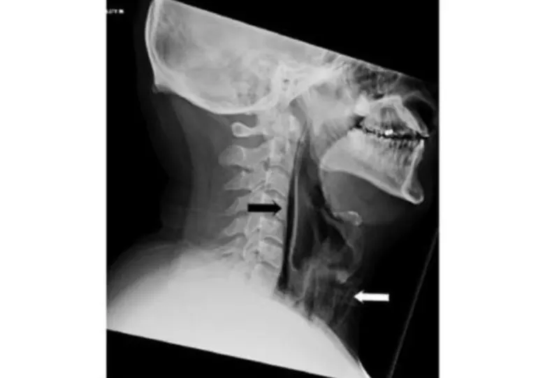
En primer lugar, los doctores vieron hinchazón en su cuello y cuando examinaron el tejido blando escucharon crujidos. Yang dijo que eso significaba que había burbujas de aire en los músculos del hombre y profundamente en su tejido.
Los escaneos confirmaron el problema. Las pruebas mostraron vetas de aire reales en la región retrofaríngea y enfisema quirúrgico extenso en el cuello anterior a la tráquea. En otras palabras, al tratar de retener su estornudo, en realidad se hizo un pequeño agujero en la garganta.
"Afortunadamente, fue una perforación muy pequeña", dijo Yang. "No necesitaba ninguna operación".
Cuando estornudas, es el reflejo protector de tu cuerpo eliminar un irritante que ha entrado en tu nariz. Con un estornudo, una cantidad significativa de presión de aire se acumula en los pulmones y se abre paso a través de la cavidad nasal para eliminar ese irritante.
Un estornudo puede impulsar las gotas mucosas a una velocidad de 160 kilómetros por hora. Si retienes un estornudo, ese aire presurizado tendrá que ir a alguna parte. En este caso, dañó el tejido en la garganta del hombre. En casos anteriores, los médicos también han visto que un estornudo contenido causó problemas en los senos paranasales, en el oído medio e interno, en los oídos y hasta causó la ruptura del tímpano.
Recomendamos: ¿El café es bueno para la salud?
El paciente recibió antibióticos y tuvo que ser alimentado a través de un tubo, que se retiró después de siete días. Sus síntomas mejoraron mientras descansaba y poco a poco fue capaz de comer alimentos blandos.
Este tipo de lesión por estornudo es inusual, según el informe. Los médicos han visto a pacientes con lesiones similares después de toser intensamente o después de vomitar con fuerza.
"Es una lesión rara que probablemente veríamos en un trauma, como si alguien tuviera un accidente automovilístico o se lesionara con un arma de fuego o un cuchillo, o si tragaran algo afilado", dijo el Dr. Adam M. Klein, que no vio al paciente británico y no participó en el estudio. Klein es el director del Emory Voice Center y jefe de la división de laringología en el departamento de otorrinolaringología.
Klein dijo que si te preocupa propagar gérmenes con tus estornudos, en lugar de mantenerlos dentro, lo mejor que puedes hacer para evitar una lesión es dejarlo salir. Si no tienes un pañuelo de papel, estornuda en la curva de tu codo, en lugar de hacerlo en la mano, es "una buena práctica".
La buena noticia para este paciente es que no hubo daño permanente. Los doctores le aconsejaron al hombre que no se pellizque la nariz para no estornudar en el futuro y aconsejan a los demás que presten atención al mismo consejo.
"Detener el estornudo a través del bloqueo de las fosas nasales y la boca es una maniobra peligrosa. Debe evitarse, ya que puede dar lugar a numerosas complicaciones", recomienda el informe.